Latest News

Clopidogrel Outperforms Aspirin for Post-DAPT Monotherapy After PCI: Study
A new meta-analysis suggests that clopidogrel may be a safer…

Concussions Linked to Increased Suicide Risk in Youth, suggests research
Researchers have determined in a new study that adolescents who…

Higher Screen Time in Toddlers Linked to Increased Risk of Autism Symptoms, New Study Finds
Singapore: A new study published in the Journal of Autism and…

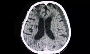
Study Finds No Clear Benefit of Early Surgery Over Conservative Care in Traumatic Acute Subdural Hematoma
Netherlands: A new study published in JAMA Network Open has found…

Exercise snacks may boost cardiorespiratory fitness of physically inactive adults: Study
Exercise snacks-intentional short bursts of physical activity-may…

Sotatercept Improves Early Pulmonary Arterial Hypertension Outcomes: NEJM
A new study published in The New England Journal of Medicine…
Facebook Comments