Latest News

Empagliflozin Fails to Preserve Beta-Cell Function After Gestational Diabetes: Trial Finds
Canada: Empagliflozin did not significantly preserve beta-cell…

Long COVID in children may be twice as high after a second infection: Lancet
A new study published in The Lancet Infectious Diseases involving…

Habitual Scratching among atopic dermatitis patients linked to increased disease Severity: Study
According to a new study habitual scratching was prevalent across…

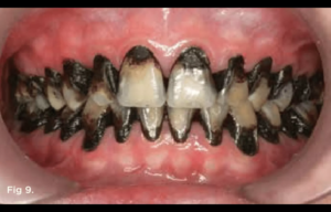
SDF Treatment Superior in Arresting Early Approximal Caries: Study
Researchers have found in a new randomized, triple-blinded clinical…

SSRIs in Pregnancy may Affect Maternal Care giving behavior, Not Offspring Cognition, reveals study
Findings from a new study show that selective serotonin reuptake…

Health crisis in a bottle: Rajasthan govt bans cough syrup batch after patients fall ill in Bharatpur, Sikar
Jaipur: The Rajasthan Medical Services Corporation Limited (RMSCL)…
Facebook Comments