Latest News

Death of 10-year-old boy at Agartala Govt Medical College hospital, family alleges medical negligence
The Tripura government on Thursday ordered an inquiry to investigate…

Toric Monofocal Intraocular Lenses may correct Keratometric Astigmatism
A recent comprehensive analysis specifically evaluated the effectiveness…

Perioperative oral care management effective after pancreaticoduodenectomy
Perioperative oral care management may prevent surgical site…

Proinsulin-to–C-peptide ratio may help identify individuals at highest risk of type 2 diabetes: Study
UK: A recent study published in Diabetes Care has revealed the…

Is maltodextrin safe preoperative medication for diabetics undergoing minimally invasive colorectal surgery?
Recent research paper compares the effects of preoperative oral…

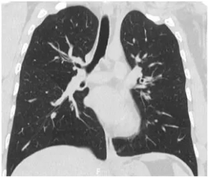
Dupilumab effective for refractory asthma complicated by recurring chronic eosinophilic pneumonia
Dupilumab promising treatment for refractory asthma complicated…
Facebook Comments