Latest News

Sexual Dysfunction Common after Successful treatment of Ruptured Aneurysms: Study
A recent study published in Neurology India suggests that in…

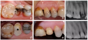
Loss of tooth structure, vertical root fracture and periodontal disease tied to extraction of root canal-treated teeth: Study
Loss of tooth structure, vertical root fracture and periodontal…

Healthy diet may reduce pace of aging and reduce dementia risk, suggests study
A healthier diet is associated with a reduced dementia risk and…

SSRIs use at delivery may increase risk of postpartum hemorrhage in dose dependent manner: Study
Depression during pregnancy poses significant risks to both maternal…

Pneumococcal Conjugate Vaccines Shows Potential in Reducing Viral Respiratory Tract Infections: Study
Pneumococcal disease poses a significant health burden worldwide,…

Pooled saliva testing efficient, cost-sparing approach to identify newborns with asymptomatic CMV: Study
Israel: A recent study published in Nature Medicine demonstrates…
Facebook Comments