Latest News

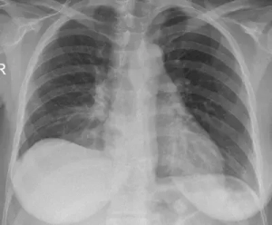
Moderate and large volume nonmalignant pleural effusions independently associated with AKI: Study
Moderate and large effusion volume nonmalignant pleural effusions…

Hyperbaric Oxygen Therapy Reduces Mortality in Necrotizing Soft Tissue Infections: Study
Necrotizing soft tissue infections are life-threatening conditions…

Botulinum toxin improves quality of life and self-esteem in Rosacea patients, reveals study
Rosacea is characterized by the proliferation and dilation of…

Bimekizumab bests Guselkumab in psoriatic arthritis, reveals new study
Bimekizumab bests Guselkumab in psoriatic arthritis, reveals…

Initiation of medication for alcohol use disorder at discharge may reduce readmissions: JAMA
Researchers at Massachusetts General Hospital in Boston have…

Earlier menopause worsens impact of high CV risk on cognitive decline: Study
Canada: A recent study published in Neurology suggests that earlier…
Facebook Comments