Latest News

Baked Milk Immunotherapy Offers Relief for Cow’s Milk Allergy Patients: Study
According to a recent study being presented at the 2024 American…

Addition of Metronidazole to Cefazolin Reduces Surgical Site Infections risk in Gynecologic Surgery, finds study
Surgical site infections (SSI) pose a considerable risk in gynecologic…

Novel CT exam reduces need for invasive artery treatment, study finds
A new study showed that a non-invasive imaging test can help…

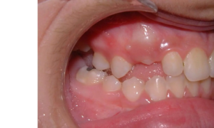
Study reports high success rate for spontaneous space closure in patients treated with early extraction of first permanent molar
Sweden: The early extraction of the first permanent molar (FPM)…

Breakthrough Ultrasound Technology Offers Noninvasive Pain Relief through Brain Modulation, reveals study
In a groundbreaking study, researchers have explored the
potential…

Netarsudil and latanoprost combo useful fixed dose option for open-angle glaucoma and IOP: Study
A recent study published in the Graefe’s Archive for Clinical…
Facebook Comments