Latest News

Bangalore Shoulder Summit 2024 at Manipal Hospital: 350 shoulder surgeons, 100 physiotherapists attended the summit
Bangalore: The 3rd annual edition of the ''Bangalore Shoulder…

Diabetes stigma tied to food insecurity, disordered eating and lower psychosocial well-being in diabetes patients: Study
Health-related stigma is a personal experience of exclusion,…

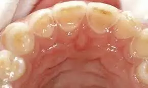
Occlusal veneer can protect cracked teeth without preventive root canal therapy: Study
Occlusal veneer can protect cracked teeth without preventive…

Timing of RBC transfusions linked to necrotizing enterocolitis risk in premature infants, reveals JAMA study
USA: Premature infants face a myriad of health challenges, among…

Vegan or vegetarian diet positively affects ammonia levels and metabolomic profiles in cirrhosis patients: Study
A recent study published in the Clinical and Translational Gastroenterology…

Radiopharmaceutical therapy controls symptoms and reduces medications in insulinoma patients: Study
Peptide receptor radionuclide therapy (PRRT) is effective for…
Facebook Comments