Latest News

New study advocates for initiation of statins in primary prevention for heart failure with preserved ejection fraction
USA: In a paradigm-shifting revelation, a recent study has advocated…

Successful Postcoital Testing of Ovaprene: A Promising Step in Non-Hormonal Contraception, study reveals
USA: In a significant stride forward for non-hormonal contraception,…

Occupational noise exposure linked to increased arthritis risk, suggests study
A recent study published in the BMC Public Health unveiled a…

High dietary acid load can potentially worsen cardiometabolic risk factors, study reveals
Iran: A recent meta-analysis revealed that high dietary acid…

Surgical treatment not better than Conservative Management for Cerebellar Infarcts, suggests study
In a recent study published in the Journal of the American Medical…

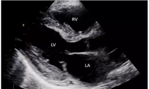
High urea levels associated with increased left ventricular hypertrophy risk, suggests study
Wantai Dang and team from the First Affiliated Hospital of Chengdu…
Facebook Comments