Latest News

PREDIMAR Trial: Mediterranean Diet with Olive Oil Reduces Tachyarrhythmia Recurrence After Atrial Fibrillation Ablation
Spain: In a groundbreaking development for cardiovascular health,…

Morning sickness not normal or harmless, new stuthebusts myths and outlines prevention and treatment options
Late last year, geneticist Marlena Fejzo and colleagues made…

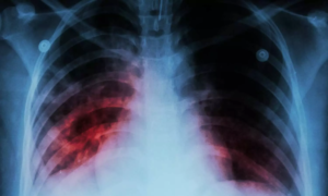
Pamrevlumab Shows No Significant Benefit in Slowing Lung Function Decline in Idiopathic Pulmonary Fibrosis: JAMA
Researchers have found that pamrevlumab, a monoclonal antibody,…

Gestational weight gain may mediate effect of exercise on prevention of incident macrosomia, suggests study
Gestational weight gain may mediate the effect of exercise on…

EuroPCR 2024-Early outcomes of a randomised non-inferiority trial comparing TAVI devices: the LANDMARK trial
The Course Directors have selected 3 major Late Breaking Trials…

Remote physical therapy yields comparable results to in-person therapy post knee surgery for same-day discharge patients: Study
USA: In a groundbreaking development, a recent randomized clinical…
Facebook Comments