Latest News

Teenagers with classmates having mental illness at significantly greater risk of psychiatric diagnosis later in life: JAMA
Researchers have found that mental disorders may be transmitted…

Semaglutide reduces risk of major kidney events and death from CV causes among diabetes patients with CKD: NEJM
The FLOW (Evaluate Renal Function with Semaglutide Once Weekly)…

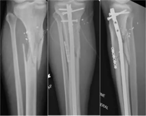
Plate-assisted reduction during intramedullary nailing of tibia shaft fractures may lower risk of nonunion or infection: Study
Plate-assisted reduction during intramedullary nailing of tibia…

Ovary Removed Sans Consent, Mop pad left inside Abdomen: TN Private Hospital Doctors Told to Pay Rs 25 Lakh Compensation
Chennai: The circuit bench of Tamil Nadu State Consumer Disputes…

Goa Medical College resident doctor assaulted by two women, Doctors association demands action
Panaji: In yet another case of violence against medical professionals,…

AstraZeneca Pharma India Gets CDSCO Panel Nod To Import, Market Eculizumab for Atypical hemolytic uremic syndrome
New Delhi: The drug major AstraZeneca Pharma India has got a…
Facebook Comments